Из-за отказа сдать деньги? В детсаду Киева ребенка накормили супом с проволокой

В Киеве в детском саду №210 ребенка накормили обедом с проволокой в супе. Медикам изъять инородное тело пока так и не удалось, а воспитатели сада делают вид, что ничего не произошло.
Об инциденте со своим сыном рассказал в Facebook Всеволод Некрасов. По его словам, 19 сентября после возвращения из садика мальчик попросился больше не ходить туда, потому что там "в супе проволока".
"Я ее отложил, но она все равно мне как-то попала”, — поделился малыш.
Читайте: ''Воняет трупом? И такое съедят!'' В Киеве поймали пьяного развозчика мяса для детсадов
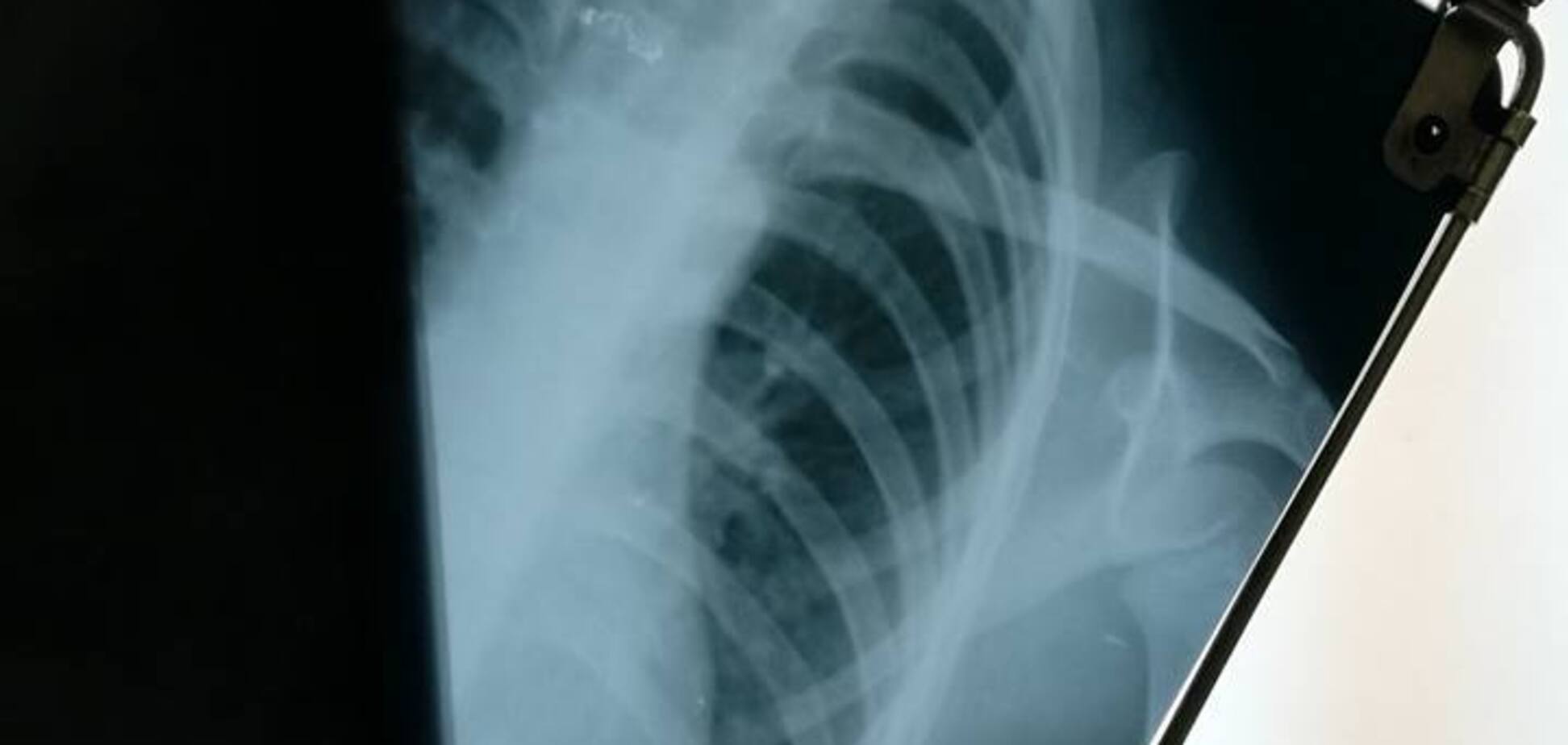
Он рассказал, что предмет был серого цвета, примерно 2-3 сантиметра в длину и он застрял у него чуть ниже шеи. Диагностика в больнице и рентген действительно указали на наличие инородного предмета в пищеводе.
"Врач срочно ведет нас делать функциональную эндоскопию и предупреждает: существует вероятность, что инородное тело опустится по пищеводу, когда ребенок будет вдыхать газ для общего наркоза. Ребенка подвергают общему наркозу. Проводят эндоскопию. Эндоскопия не проявляет следы инородного тела в пищеводе", — пересказал Всеволод Некрасов.
После этого медики посоветовали ребенку несколько дней есть жидкую пищу, а родители начали связываться с воспитателями детсада, чтобы выяснить все обстоятельства. Заведующая учебного заведения ответила, что уехала на выездную конференцию и не может общаться, а воспитательница ребенка ни разу так и не поинтересовалась здоровьем малыша.
Спустя несколько дней, 22 сентября, хирург из "Охматдета" подтвердил, что на первом рентгене видно инородное тело. Однако после того, как снимки переделали, оно перестало просматриваться. Видимая угроза для здоровья ребенка миновала, однако, по словам родителя, в саду не пытались выяснить причину происшествия или поинтересоваться состоянием воспитанника.
В комментариях к посту пользователи предположили, что проволока могла быть частью металлической мочалки для мытья посуды. При этом Всеволод Некрасов отметил, что больше ни один ребенок из группы не пожаловался на такую "находку" в блюде. Также отец пострадавшего обратил внимание, что все случилось после того, как он публично выступил против работы воспитателя в их группе.
"Инцидент произошел на седьмой день после родительского собрания, когда я выступил против платных занятий нашей воспитательницей в первой половине дня, вопреки официальной программе дня, утвержденной подписью и печатью Олейник Т.В", — поделился Некрасов.
Как писал OBOZREVATEL, в начале сентября стало известно о том, что в несколько детских садов Киева для питания детей поставляли гнилое мясо.










