Заплатила $160 тыс., чтобы ей сломали кости: как выглядит модель, которая решилась на безумный шаг ради красоты. Фото
Виртуальный мемориал погибших борцов за украинскую независимость: почтите Героев минутой вашего внимания!

Немецкая модель и звезда реалити-шоу "Celebrity Big Brother" Терезия Фишер из-за травли окружающих решилась на сложнейшую операцию – она перенесла процедуру удлинения ног. До хирургического вмешательства рост блондинки составлял 168 сантиметров, теперь она может похвастаться длинными ногами и ростом 182 сантиметра. Однако и сейчас девушка продолжает сталкиваться с критикой в сети.
OBOZREVATEL продемонстрирует, как 31-летняя Терезия выглядела до операции, расскажет какую сумму она потратила на процедуру и реабилитацию. Как призналась Фишер, она чувствует себя счастливой и любуется своим отражениям в зеркале (чтобы посмотреть фото, доскролльте страницу до конца).
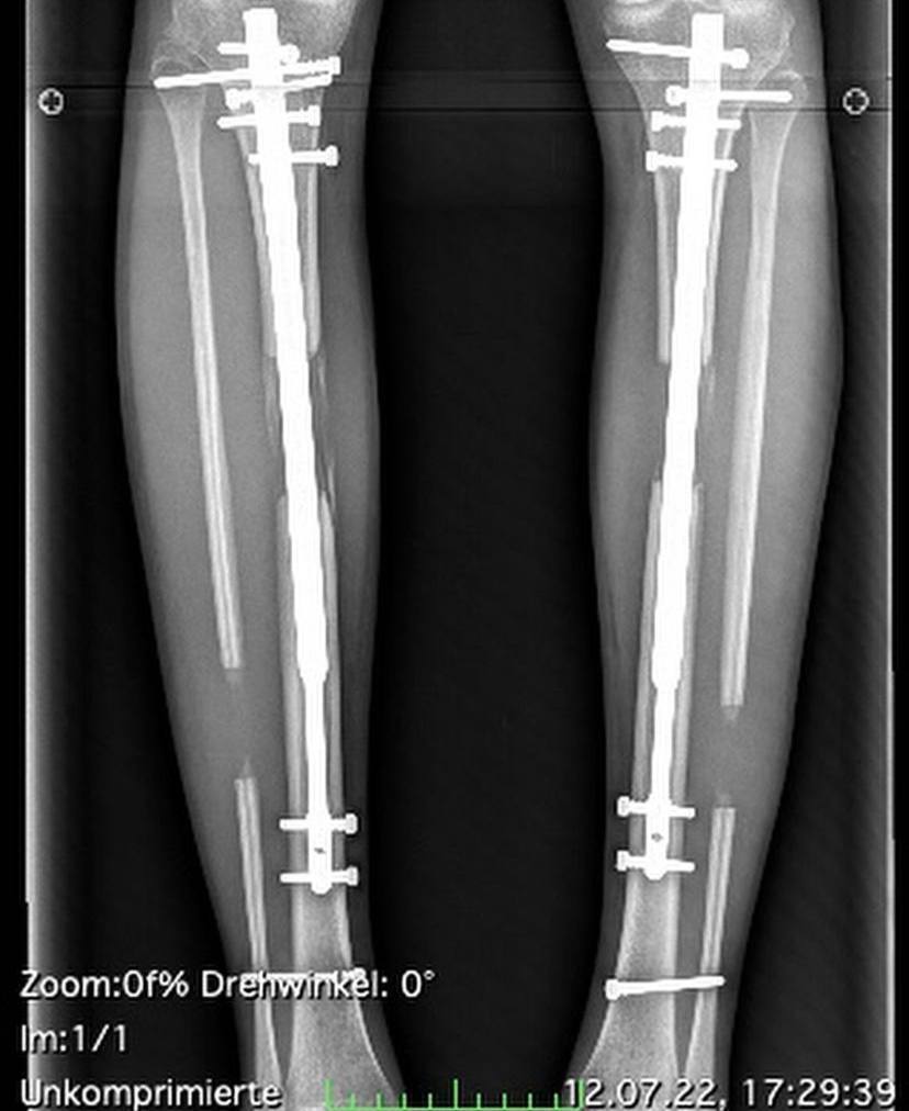
За операцию модель отдала 124 тысячи долларов (4,5 миллиона гривен). На процесс восстановления и лекарства она потратила еще около 36 тысяч долларов (1,3 миллиона гривен). В рамках процедуры, Терезии сломали бедренные кости двух ног, вживили в них телескопические штыри, которые в течение трех месяцев ежедневно вытягивали на миллиметр. Затем девушка перенесла процесс восстановления с болями в нервах, сухожилиях и мышечных тканях.
"Сейчас я чувствую себя счастливой, и мои ноги мне нравятся, но я все равно получаю гневные комментарии в интернете. Почему я оказываюсь объектом буллинга?", – задается вопросом немка. В Instagram на нее подписаны 146 тысяч фолловеров, в TikTok – около 200 тысяч. Девушка активно постит фотографии, делится подробностями своей личной жизни и будней.
После сумасшедшего шага ради красоты блондинку стали приглашать в различные ток-шоу, где она рассказывает о своем опыте и призывает девушек менять внешность, если их что-то не устраивает. Она так же продолжает сниматься для рекламы брендов.
Ранее OBOZREVATEL показал, как выглядит самая низкая модель в мире, рост которой всего 102 сантиметра. Дрю Преста родилась с ахондроплазией, но это не мешает ей позировать перед фэшн-фотографами и сниматься в белье. Девушка доказала, что нет ничего невозможного.
Только проверенная информация у нас в Telegram-канале Obozrevatel и в Viber. Не ведитесь на фейки!











